
亚专科 ▪ 微信汇
M/60 肠系膜结节(寄生虫VS植物)
作者:管理员
时间:
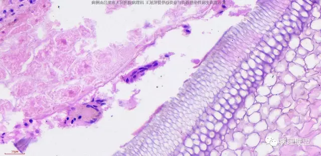
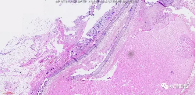
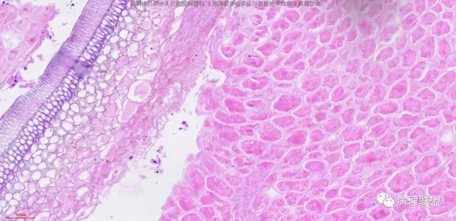
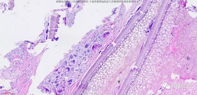
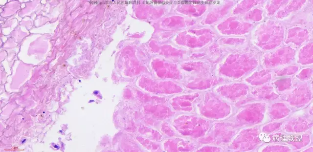
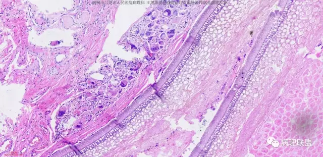
病人,男,60岁,腹股沟疝强行复位致肠管破裂,术中于肠系膜根部见结节一枚送检,肉眼灰红结节一枚,直径0.5cm。该病人于十年前曾行直肠癌根治术,麻烦各位老师,肠系膜结节考虑什么。(病例由吕梁市人民医院病理科 王旭萍提供,致谢!)

病人,男,60岁,腹股沟疝强行复位致肠管破裂,术中于肠系膜根部见结节一枚送检,肉眼灰红结节一枚,直径0.5cm。该病人于十年前曾行直肠癌根治术,麻烦各位老师,肠系膜结节考虑什么。(病例由吕梁市人民医院病理科 王旭萍提供,致谢!)
Copyright © 2015 广州华银医学检验中心有限公司 版权所有 粤ICP备14054759号-2