
亚专科 ▪ 微信汇
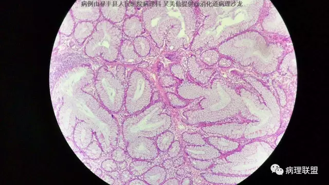
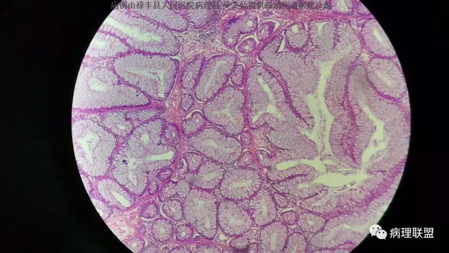
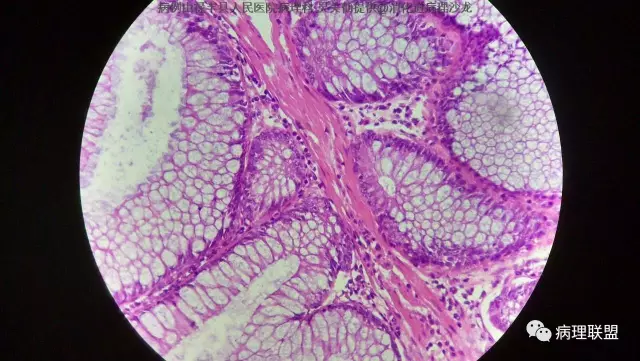
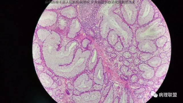
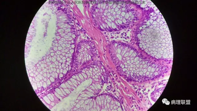
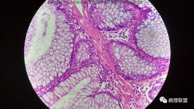
M/50 直肠(P-J息肉VS增生性息肉?)
作者:管理员
时间:
P-J息肉?增生性息肉?请老师们看看!(病例由禄丰县人民医院病理科 吴美仙提供,致谢!)
下一篇:
M/67 眉弓部全毛囊瘤

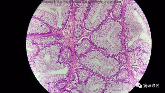
P-J息肉?增生性息肉?请老师们看看!(病例由禄丰县人民医院病理科 吴美仙提供,致谢!)
Copyright © 2015 广州华银医学检验中心有限公司 版权所有 粤ICP备14054759号-2