系统检测出您的资料尚未完善!亲!快去完善资料吧。
您好,欢迎来到临床病理联盟  
搜 索
您当前位置:首页 -- 亚专科 ▪ 微信汇 -- -- F-56 胃窦粘膜活检(低级别 vs 高级别)
F-56 胃窦粘膜活检(低级别 vs 高级别)
作者:管理员
时间:

基本资料

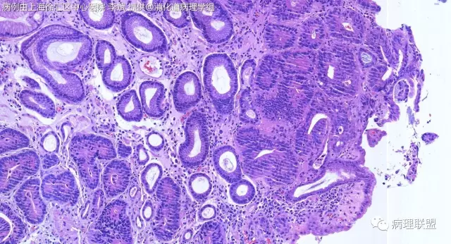
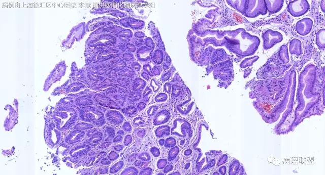
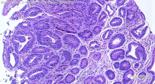
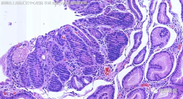
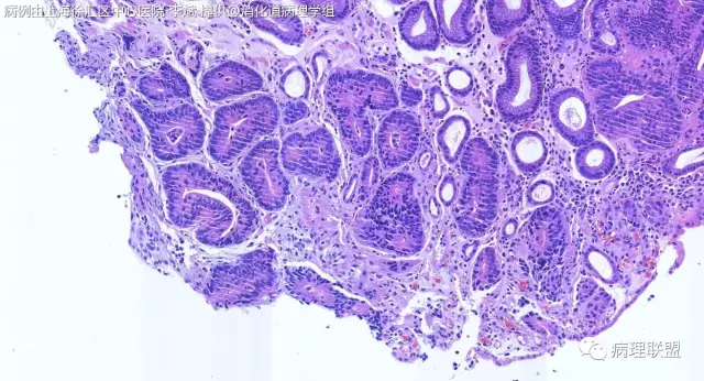
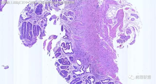
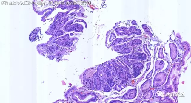
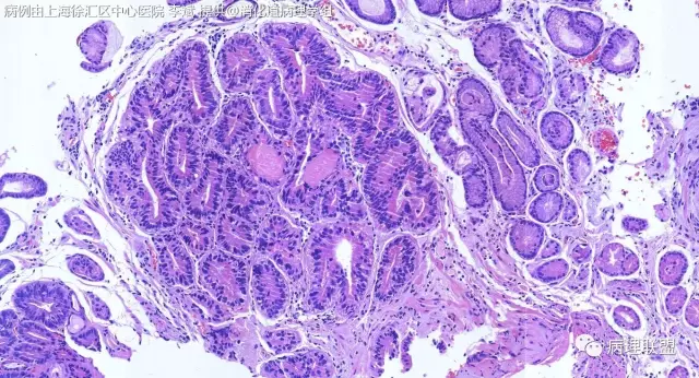
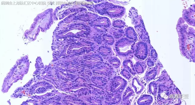
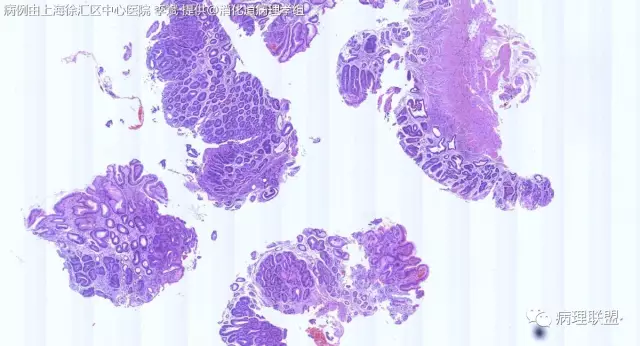
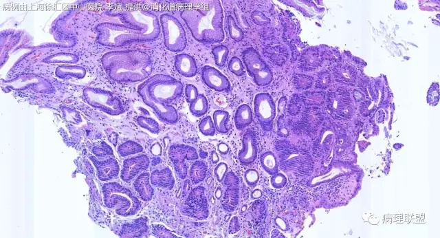
女,56岁,胃窦粘膜活检(病例由上海徐汇区中心医院 李斌 提供,致谢!)

图片信息
病例讨论

山西运城永济市电机医院 景晓峰

考虑:低级别上皮内病变(轻度异型增生)。

南方医华银病理 魏建华

北医三院 石雪迎

@李斌,高级别,腺体结构乱复杂,核异型性大,极向乱

聊城二院 左淑英

@石雪迎 石老师这消化系统的也可以遵循先看结构后看核吗?

北医三院 石雪迎

@左淑英,先低倍看结构,再高倍看细胞,综合各方面线索判断,这似乎是诊断的通用原则,不只是消化系统吧?

聊城二院 左淑英

@石雪迎,石老师我指的腺体,可能是在子宫内膜里感觉出来的缘故吧,消化还是不同的,谢谢石老师

北医三院 石雪迎

@左淑英 子宫内膜受激素周期影响,腺体结构和上皮变化比较大,消化道受损伤、炎症等影响比较大,同样要看结构、看细胞,但标准确实不大一样。虽然具体病例需要具体分析,但我感觉在胃肠道,对于判断时感觉模棱两可的病例,表面成熟现象是区分反应性增生和低级别异型时可重复性相对比较好的指标;核极向是区分高低级别异型增生时可重复性相对比较好的指标。供参考

聊城二院 左淑英

@石雪迎 谢谢石老师,胃粘膜腺体也遵循它的增生规律,表面成熟现象是个好标准,通俗易懂,再次感谢您,敬爱的石老师!

地址:广州市广州大道北1838号南方医科大学生命科学楼二楼   服务热线:400-888-1223 传真:020-62789556 邮编:510515

Copyright © 2015 广州华银医学检验中心有限公司 版权所有  粤ICP备14054759号-2