
亚专科 ▪ 微信汇
M-32 阑尾盲端外周大量的粘液(粘液溢出还是低级别粘液肿瘤?)
作者:管理员
时间:


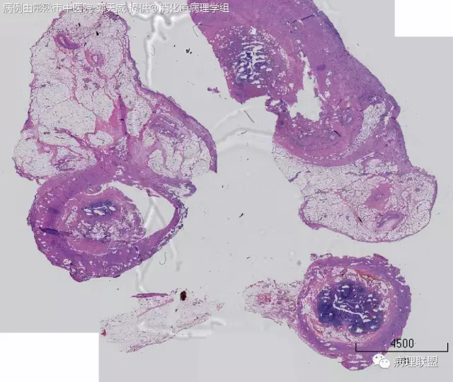
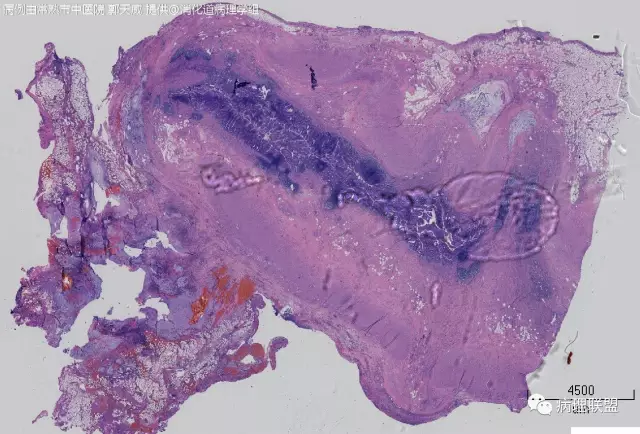
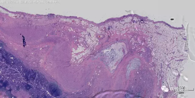
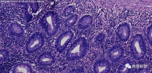
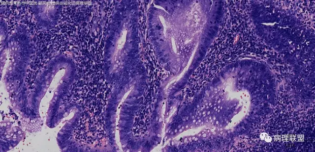
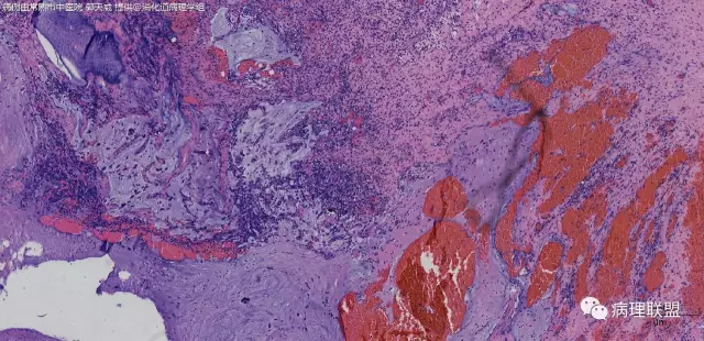
老师帮看看这个阑尾给什么诊断?谢谢!阑尾盲端外周大量的粘液怎么解释?(病例由常熟市中医院 郭天威 提供,致谢!)
上一篇:
汗腺肿瘤几例
下一篇:
M-70阑尾中的血吸虫卵
















