系统检测出您的资料尚未完善!亲!快去完善资料吧。
您好,欢迎来到临床病理联盟  
搜 索
您当前位置:首页 -- 亚专科 ▪ 微信汇 -- -- 汗腺肿瘤几例
汗腺肿瘤几例
作者:管理员
时间:

基本资料

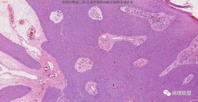
臀部肿物

(病例由聊城二院 左淑英提供,致谢!)

图片信息
病例讨论

刘香丽

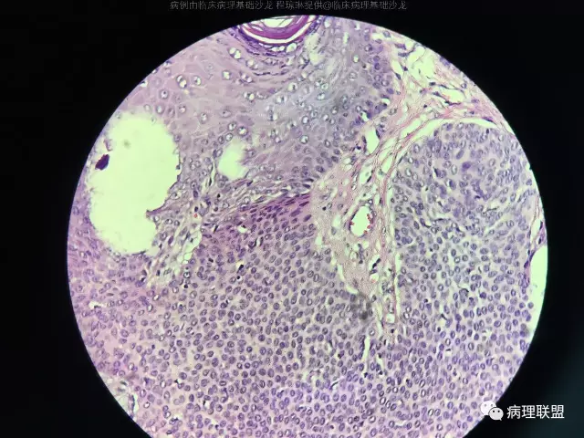
@左淑英 左老师,皮脂腺瘤,真皮浅层结节状增生物,由基底样细胞向皮脂腺分化,局部见空泡是皮脂腺的证据,肿瘤细胞浅染,有明确核仁。

赖娇

汗腺瘤

程琼琳

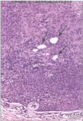
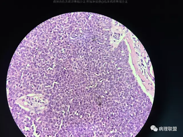
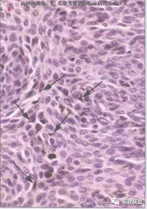
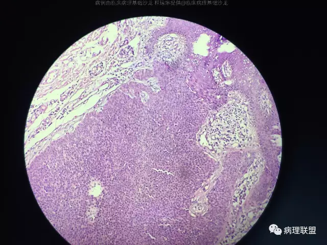
@左淑英 左老师,病例1,应该是汗腺来源,,考虑为汗孔瘤,细胞形成突起突入真皮,与表皮相连,第二张图箭头指向表示导管分化的结构,第三张图显示其纤维血管性间质,第四张图显示其有色素沉着,不知道对不对,今天我也遇着一个皮肤病例,您也给看看@左淑英

图片信息


左淑英

@程琼琳 汗孔瘤

邓永键

单纯性汗腺棘皮瘤可能好一些

左淑英

师父说的对,这个仅仅在表皮内,@刘香丽 @赖娇 看看程老师病例,跟我发的比较一下

刘香丽

@左淑英 好的,左老师。我再看看这两种病的区别。

邓永键

汗孔瘤、汗腺棘皮瘤、汗腺螺旋管腺瘤,三者细胞起源类似,细胞鳞不鳞、腺不腺,还象肌上皮。所以细胞成分可单一,也可复合存在。

淫荡点看,表皮如嘴唇,舌头抿在嘴里,顶多鼓一点,是汗孔瘤。舌头伸出嘴外,还带点似断不断、似滴不滴的哈喇汁,是汗腺棘皮瘤。哈喇汁滴到真皮里,一坨一坨地,就是螺旋管瘤。

赖娇

@左淑英 感觉和您发的病例一样也是在真皮内

左淑英

@赖娇 不一样的,一个局限在表皮内看那张切片图就可以看到,细胞都是一样的,如我师父说的 ,比喻的简单明了,细胞都是那种空空的样子,汗腺棘皮瘤是汗孔瘤的一个亚型,有人这样认为,

左淑英

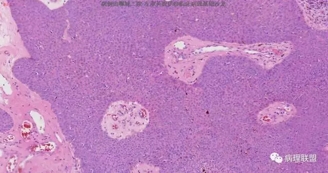
病例1,男50岁,足部肿物

图片信息

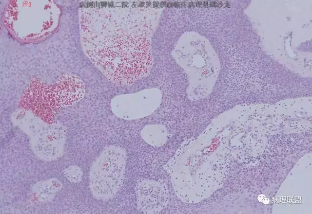
病例2 女,60,头部肿物

图片信息


刘香丽

@左淑英 左老师,汗1考虑单纯汗腺棘皮瘤;汗2考虑色素性汗孔瘤。

赖娇

汗孔和汗腺有点混乱了

左淑英

@赖娇 汗腺分几部分?查书发上来学习一下!

赖娇


汗孔瘤属于小汗腺


左淑英

小汗腺分四部分:从表到真皮汗孔,螺旋部,导管,螺旋,

粗分一般在表皮左右的是汗孔瘤,表皮真皮交界是囊瘤,真皮是管,还有个螺旋腺瘤特殊点

地址:广州市广州大道北1838号南方医科大学生命科学楼二楼   服务热线:400-888-1223 传真:020-62789556 邮编:510515

Copyright © 2015 广州华银医学检验中心有限公司 版权所有  粤ICP备14054759号-2