
亚专科 ▪ 微信汇
M-54 甲状腺PTC伴有(微小髓样癌VS弥漫性C细胞增生?)
作者:管理员
时间:
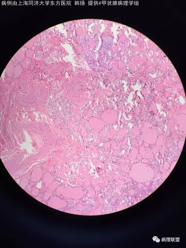
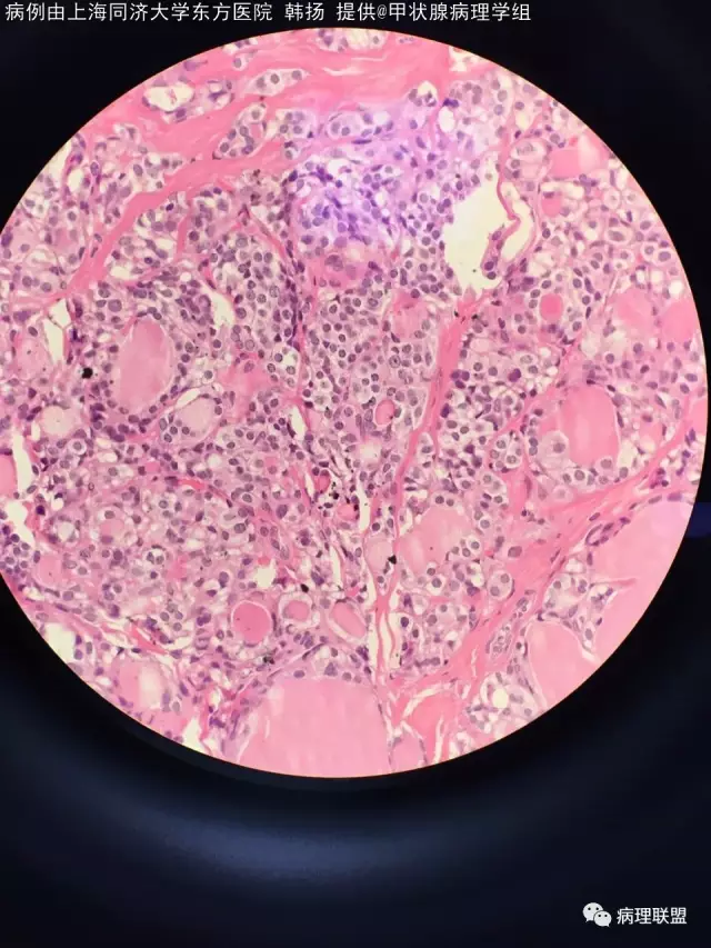
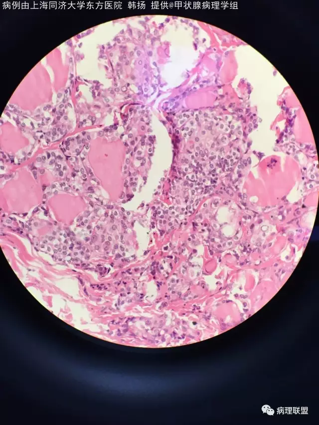
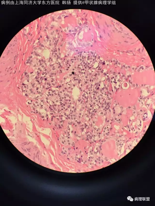
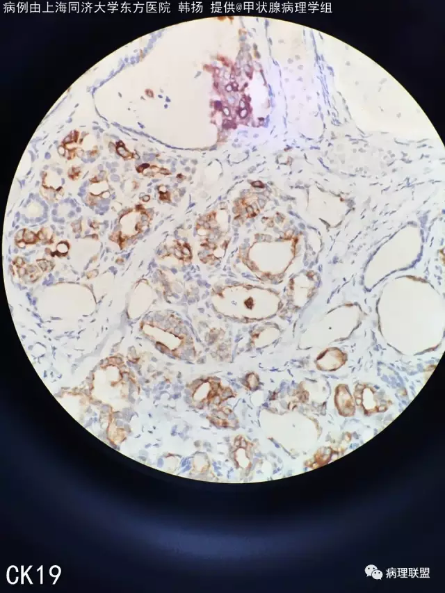
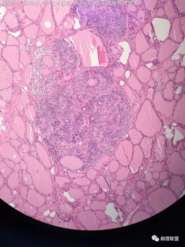
男54岁,右甲状腺是乳头状癌,滤泡亚型,左侧也发现直径0.4cm结节,边界不清。以下图片是左叶结节。(病例由上海同济大学东方医院 韩扬 提供,致谢!)
上一篇:
宫颈上皮如何判读:修复还是HSIL?
下一篇:
汗腺肿瘤几例

































