
亚专科 ▪ 微信汇
消化病理基础沙龙精彩病例两例
作者:管理员
时间:
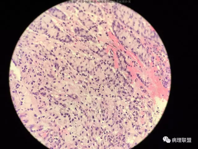
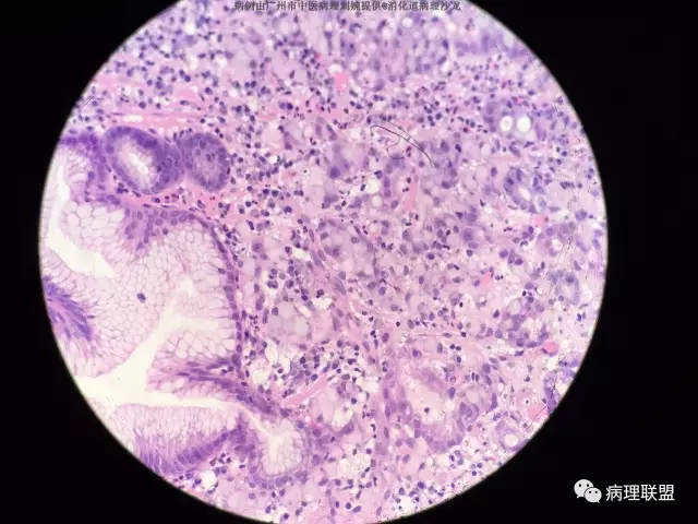
63岁,男性,胃窦明显变形,蠕动消失,见一5×6cm隆起
(病例由广州市中医病理刘婉提供,致谢!
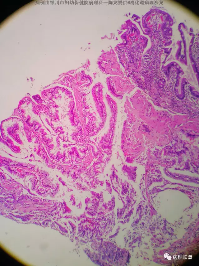
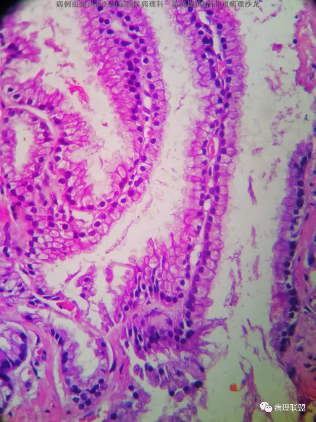
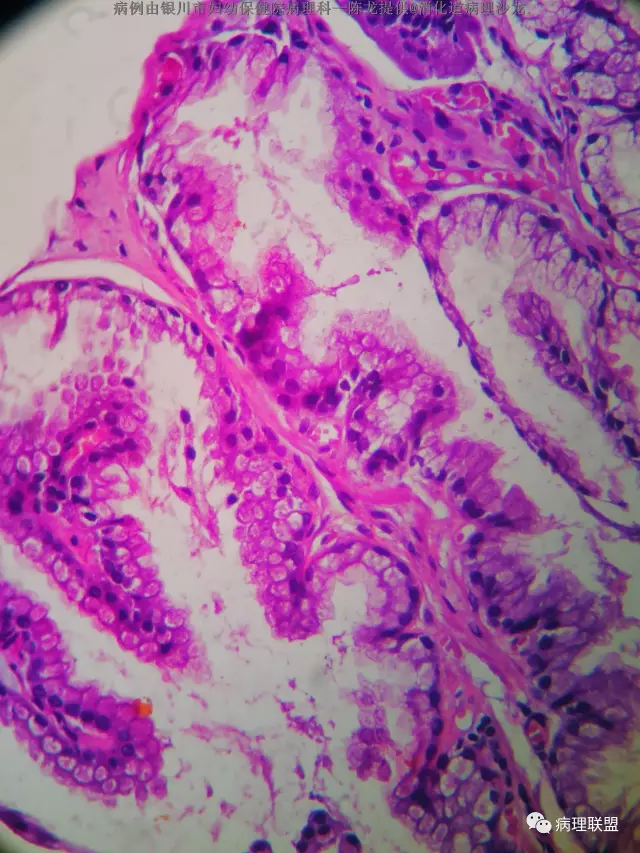
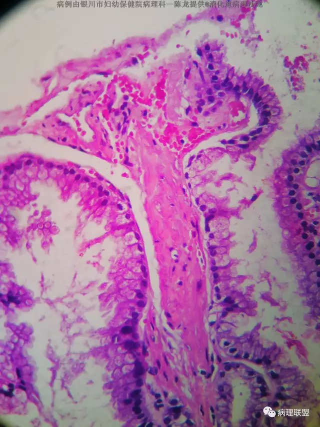
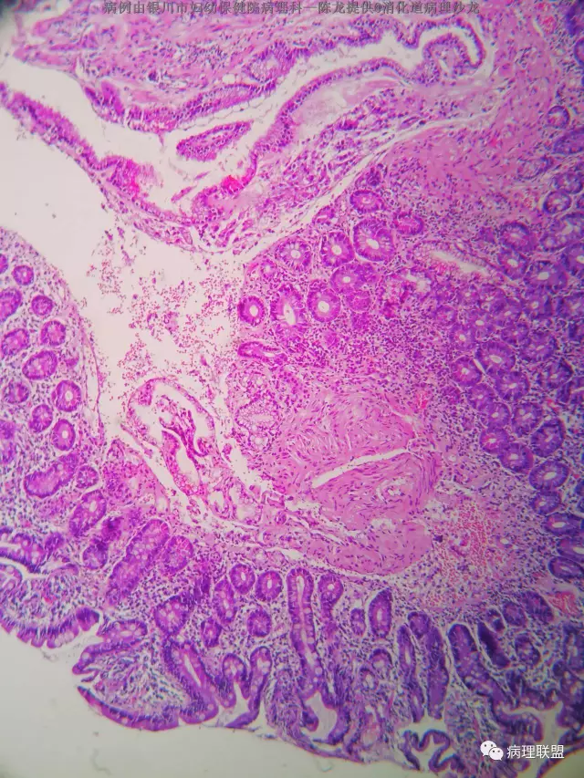
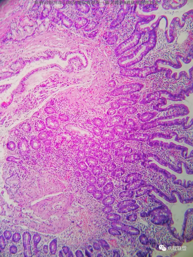
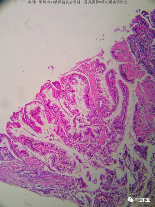
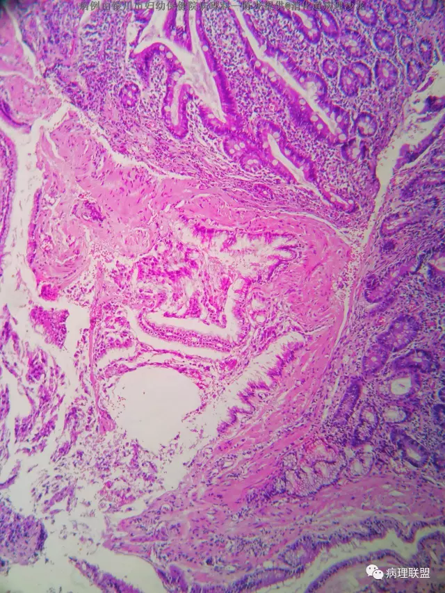
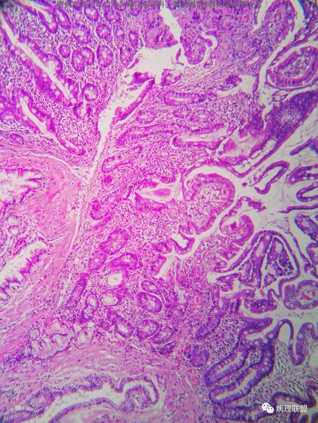
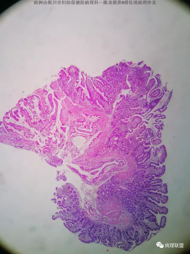
男性 68 十二指肠息肉 大小约3个0.4
(病例由银川市妇幼保健院病理科—陈龙提供,致谢!)
上一篇:
皮肤病例4例——临床病理沙龙精彩讨论
下一篇:
宫颈上皮如何判读:修复还是HSIL?





































