系统检测出您的资料尚未完善!亲!快去完善资料吧。
您好,欢迎来到临床病理联盟  
搜 索
您当前位置:首页 -- 亚专科 ▪ 微信汇 -- -- 皮肤病例4例——临床病理沙龙精彩讨论
皮肤病例4例——临床病理沙龙精彩讨论
作者:管理员
时间:

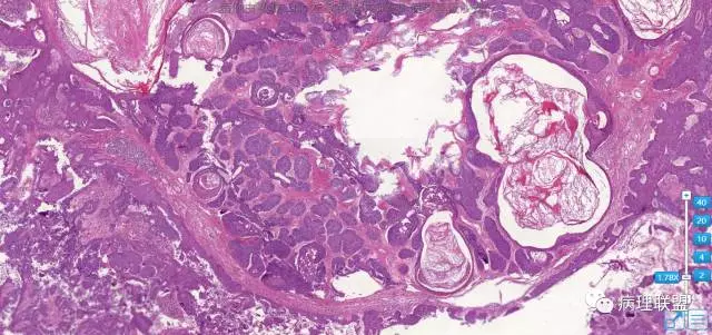
病例1

女,83岁,大腿肿物

图片信息

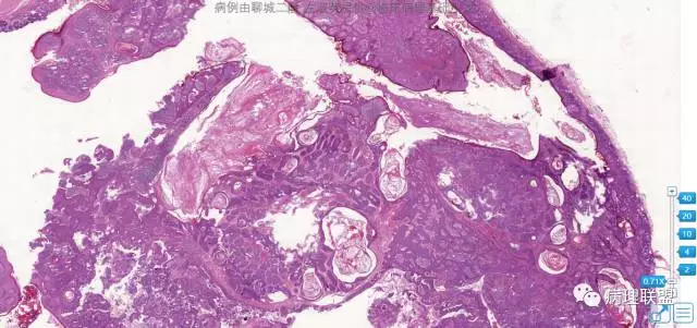
病例2

女。59,眼睑肿物

图片信息

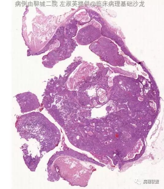
病例3

女,31,颈部肿物

图片信息


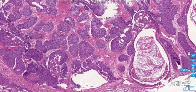
病例4

女,62,左面部

图片信息
病例讨论

刘香丽

@左淑英 1毛囊瘤,2毛发上皮瘤。3是钙化上皮瘤。4是外毛根鞘瘤

赖娇

四个病例,有点混乱了。3钙化上皮瘤。4增生性外毛根鞘瘤,2毛母细胞瘤,1分不清了毛囊分化,请左老师有时间讲解一下

刘香丽

@左淑英 左老师,您昨晚的第一个病例我弄不清,有大的角化囊,周围有毛发上皮样结构团,请左老师讲解。谢谢左老师!

左淑英

@刘香丽 五一病例毛囊瘤,并不是一个毛囊,放射不是特别典型,不过还是可以看出来的

地址:广州市广州大道北1838号南方医科大学生命科学楼二楼   服务热线:400-888-1223 传真:020-62789556 邮编:510515

Copyright © 2015 广州华银医学检验中心有限公司 版权所有  粤ICP备14054759号-2