
亚专科 ▪ 微信汇
临床病理基础沙龙精彩讨论—毛囊瘤两例
作者:管理员
时间:
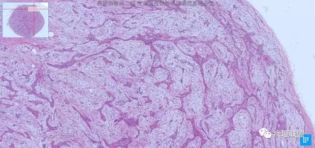
70岁,男,耳后肿物(病例由聊城二院 左淑英提供,致谢!)
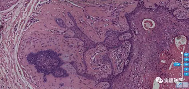
53岁,男,额部肿物(病例由聊城二院 左淑英提供,致谢!)
@左淑英 看到oracle pattern。立即诊断,oracle pattern 如人形舞蹈,如飞禽走兽
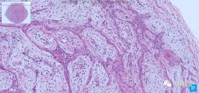
毛囊瘤还有一个重要鉴别肿瘤,毛鞘棘皮瘤,并不是看到放射状就是毛囊瘤,还要看放射的是电还是光,5.1补充图片,以后会有用的
汗腺纤维腺瘤
@周巧灵 再看看
@左淑英 左老师,5.2像毛源性的良性肿瘤,具体什么腺瘤不会看,请讲讲,谢谢!
@刘香丽 都是毛囊瘤
5.2形态好怪,怎么理解?谢谢左老师
总结毛囊瘤,毛囊瘤有个中心,好多时候看不到这个中心,但是它有放射状分布的毛源分化,并且这个毛源分化在纤维的间质中,,后面还有个毛鞘棘皮瘤,它也是放射状分布,但是它分布的间质是类似胶原红的。还有不同之处,等读到了那个病我们再鉴别,一看图就会明白的。这个地方有可能就是那个中心,有可能没切出来,还是放射状分布的,有毛源分化的,就是没有5.1典型
@左淑英 谢谢左老师!粘液间质中有小细胞团
我们一定要在典型中找不典型,不典型中找典型,5.2不典型病例,可以找到典型的毛囊分化,大多是不典型地方。真皮限局性肿瘤,都是低倍一看很清晰的。正如魏老师说的,如人形舞蹈,如飞禽走兽。
@左淑英 是的,左老师!有角化囊,囊都很小,放射状有点味道。病理需要慢慢体会,多谢左老师!
上一篇:
M/22 左下颌肿物(梭形细胞粘表?)


















