
亚专科 ▪ 微信汇
M/44 胃窦(黏膜肌层/肠化/萎缩的相互关系的判读)
作者:管理员
时间:
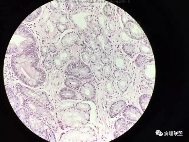
44岁,男,胃窦花斑状(病例由江门市新会区中医院 蒋志坚提供,致谢!)
高级别。
高级别有点高吧?我认为低级别,求赐教!
肠化伴低级别……
达不到高级别
@蒋志坚 我非常看重表面成熟现象在异型增生中的诊断价值,您这例几灶肠化腺体靠近胃腔侧的表面成熟现象都非常明显,个别腺体核深染略有些突出,但都位于底部且结构不复杂,可以连切一下,如果深染复层化的核仍旧没有达到表面,我认为就不够报异型。
@石雪迎 谢谢主任,我认为不够异性,但心没底,接受您的建议,深切。科里有人意见是萎缩性胃炎,希望给足指导
肠化、增生,不够异性增生!
依照这段话,我这例里面的肠化应该是与萎缩无关,对吗?
@蒋志坚 您这例组织包埋方向不理想,看不到黏膜肌层,不能准确判断肠化腺体的位置,所以只能明确有肠化,不能明确有无萎缩
















