
亚专科 ▪ 微信汇
F/64 右腕部肿块(神经鞘粘液瘤VS关节旁粘液瘤?)
作者:管理员
时间:
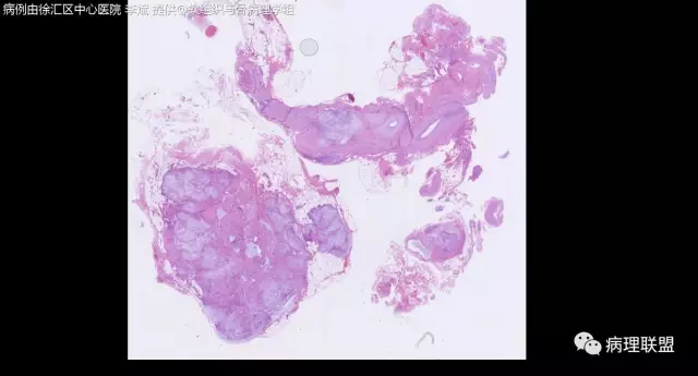
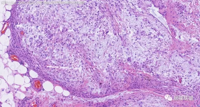
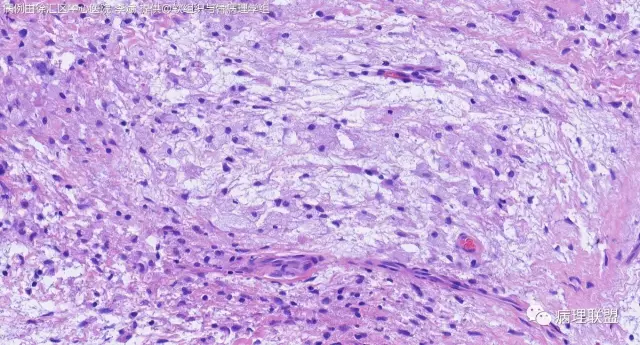
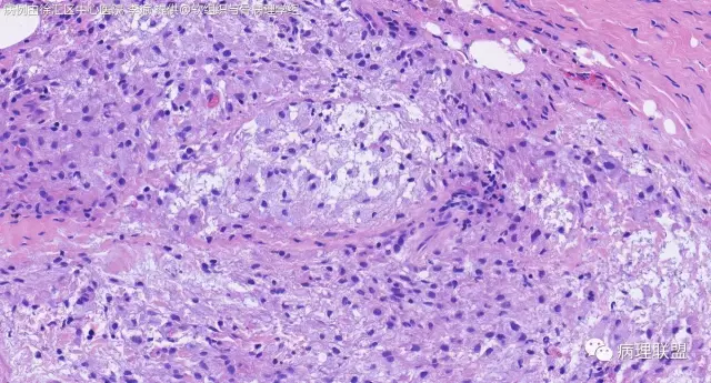
女,64岁,右腕部肿块,灰白不整形1*1*0.8cm(病例由徐汇区中心医院 李斌提供,致谢!)
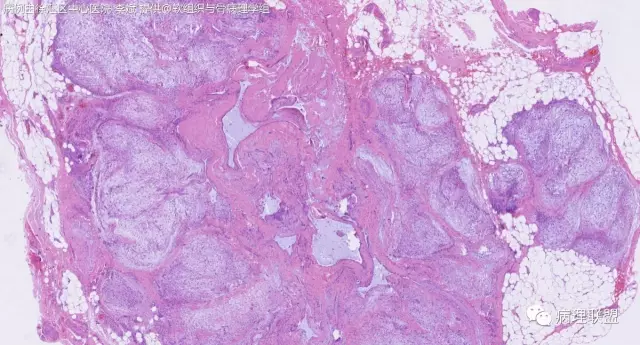
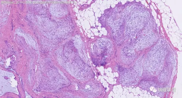
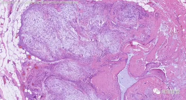
神经鞘粘液瘤。
富于细胞神经鞘粘液瘤,s100阴。
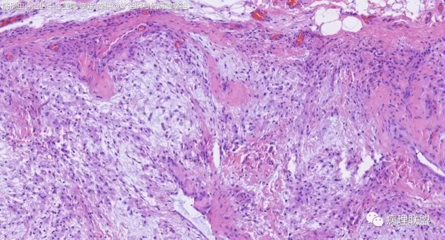
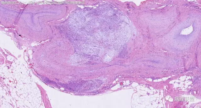
关节旁粘液瘤,肿瘤中间明显有腱鞘囊肿结构,又发生在关节处!强烈提示为关节旁粘液瘤,部分病例可以呈分叶结构!平时多加观察腱鞘囊肿囊壁常可见粘液变性!范围一广就成粘液瘤样。
取材时我以为是腱鞘囊肿,片子出来这样@周泉
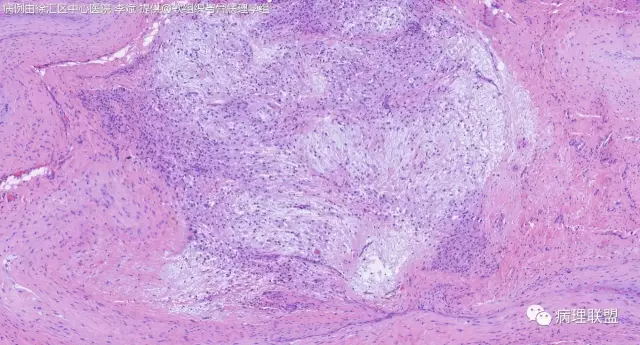
@周泉 周老师您好,李斌老师第一个病例里细胞都是上皮样的包浆宽的,嗜酸,粘液瘤细胞细胞梭的星形的,所以我考虑是神经鞘的了,您觉得粘液瘤细胞也可以这种形态吗?
@左淑英 部分应该是组织细胞























