
亚专科 ▪ 微信汇
F/45 子宫内膜样癌伴鳞状分化—刘从容语音解读
作者:管理员
时间:
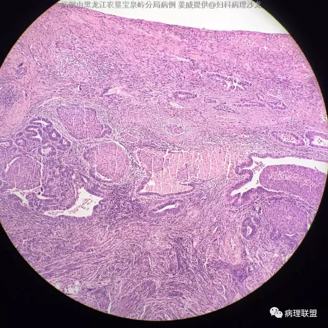
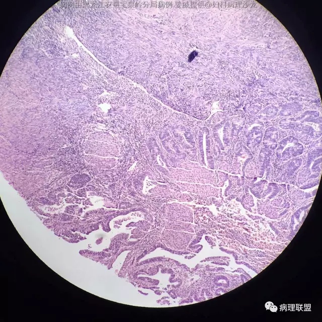
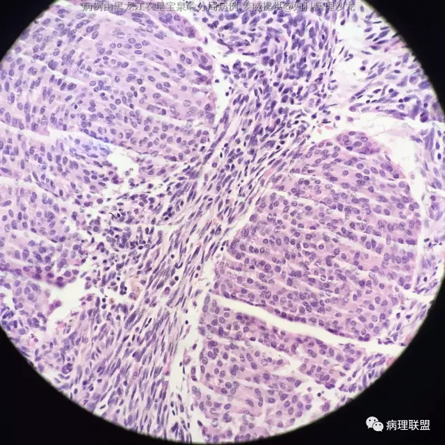
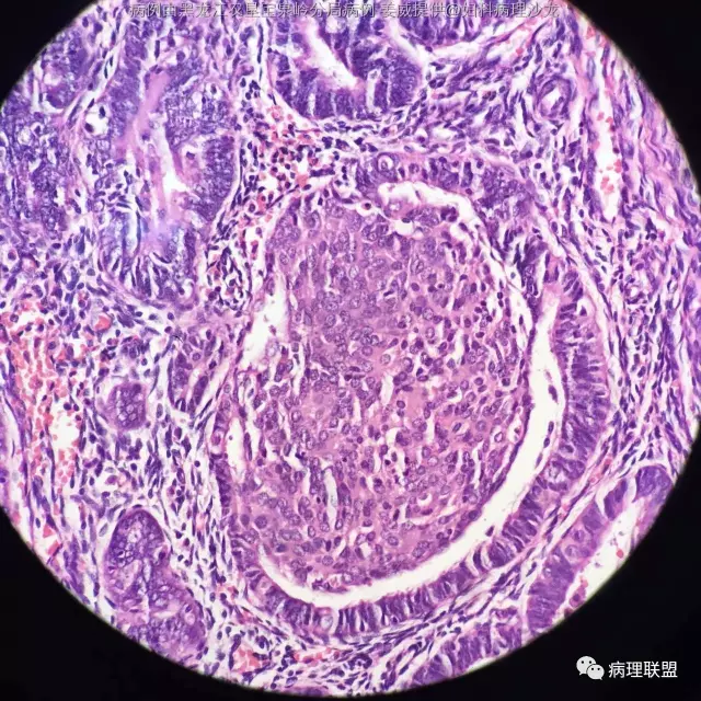
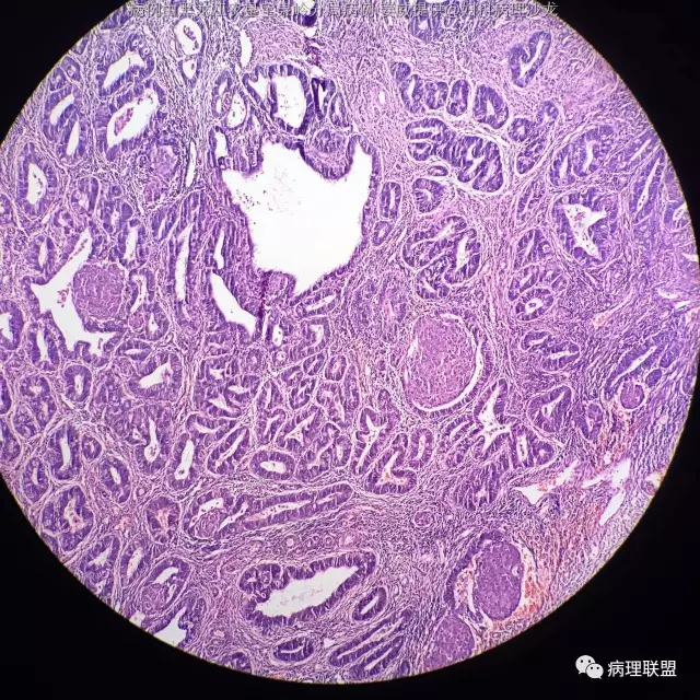
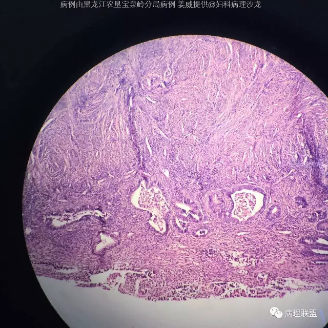
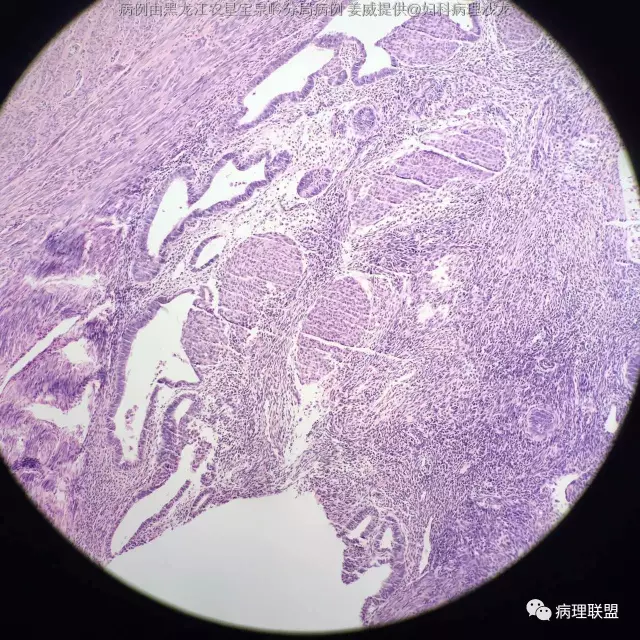
女 45岁,子宫内膜 全切子宫 术前非典(病例由黑龙江农垦宝泉岭分局病理 姜威提供,致谢!)
@黑龙江农垦宝泉岭分局病理 姜威 :子宫内膜样癌伴鳞状分化
▼语音解读▼
上一篇:
F/62 面部肿物—外毛根鞘瘤

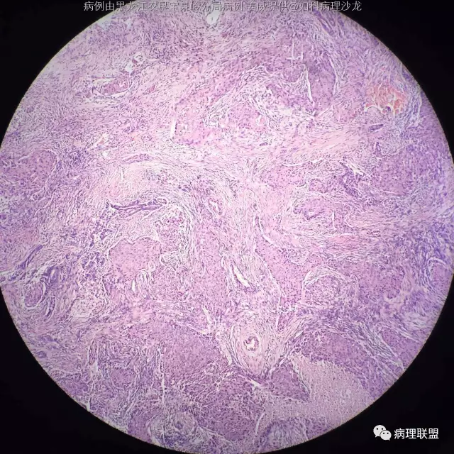
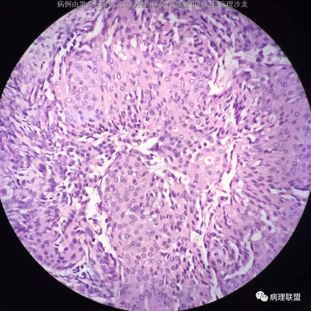
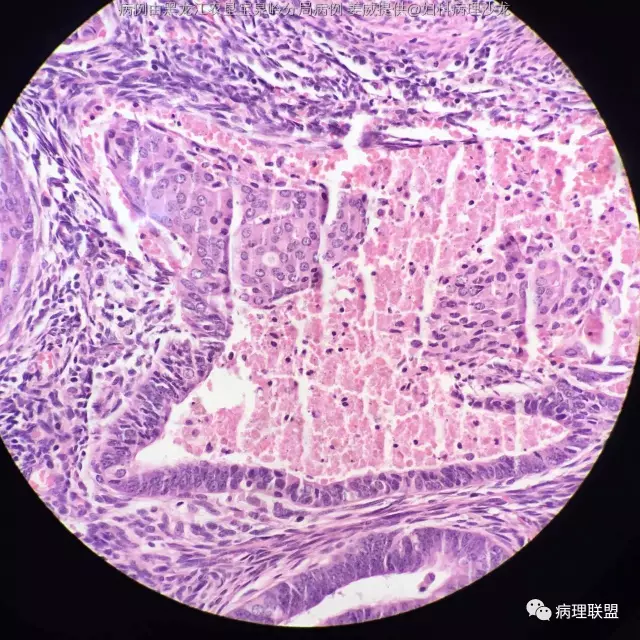
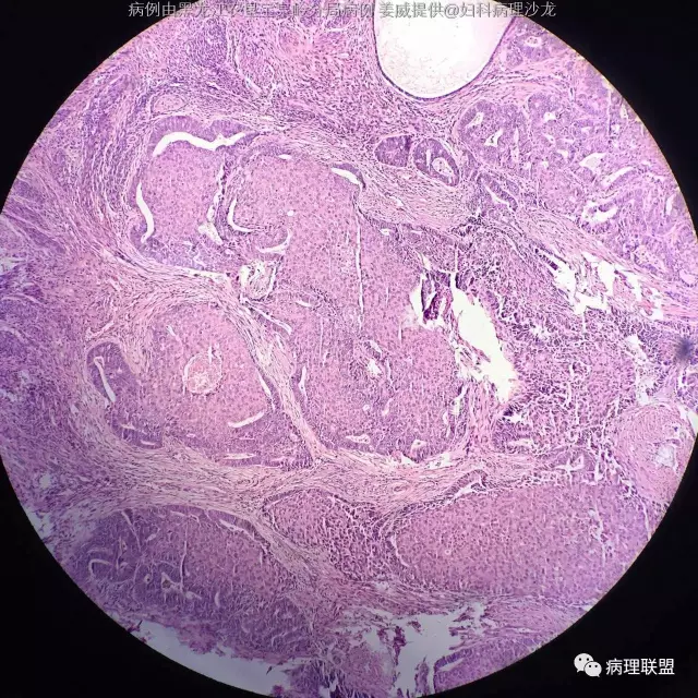
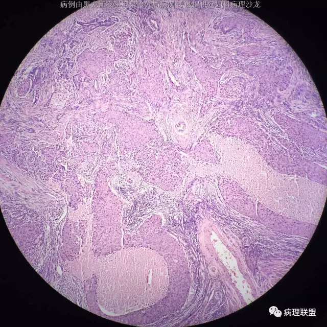
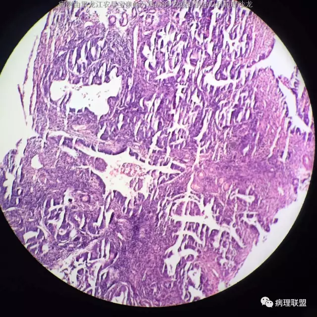
女 45岁,子宫内膜 全切子宫 术前非典(病例由黑龙江农垦宝泉岭分局病理 姜威提供,致谢!)
@黑龙江农垦宝泉岭分局病理 姜威 :子宫内膜样癌伴鳞状分化
▼语音解读▼
Copyright © 2015 广州华银医学检验中心有限公司 版权所有 粤ICP备14054759号-2