
亚专科 ▪ 微信汇
【基础入门】临床病理基础沙龙皮肤病例两例
作者:管理员
时间:
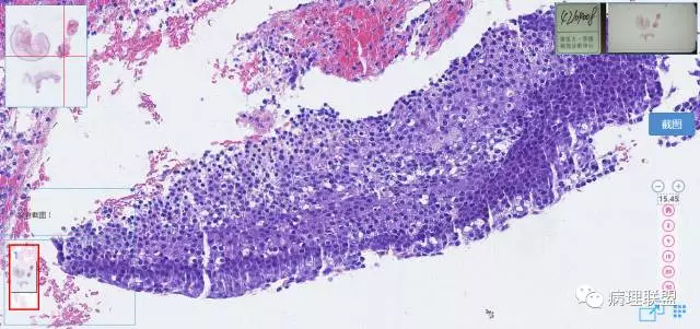
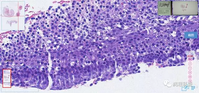
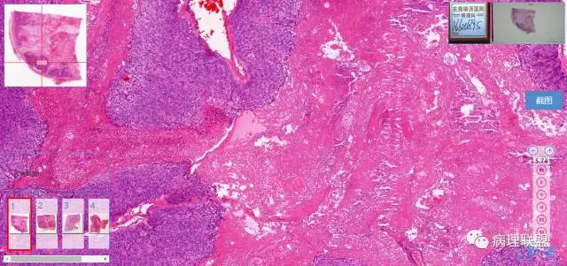
男,27岁,上臂肿物
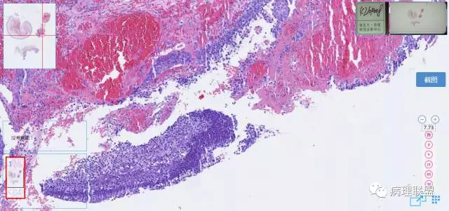
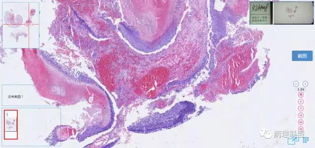
男,背部肿物
病例1感觉是汗腺来源的
我感觉第二个没有第一典型。
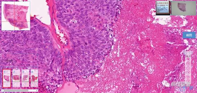
在看,突然没有了思绪。第一个有两种细胞,一种是嗜碱性胞浆的,一种是透亮的。
如果是我,能认识2.1病例的细胞,2.2的我也不能说对
我先翻书,不会又是外毛根鞘瘤吧
不是
左老师,我觉得两个都是小汗腺肿瘤,第一个我倾向于汗孔瘤,不排除小汗腺腺瘤,第二个我倾向于小汗腺腺瘤。
第一个我考虑透明细胞汗腺瘤
会不会都是汗腺瘤~
第一例
第二例
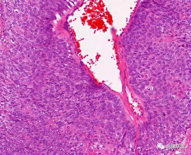
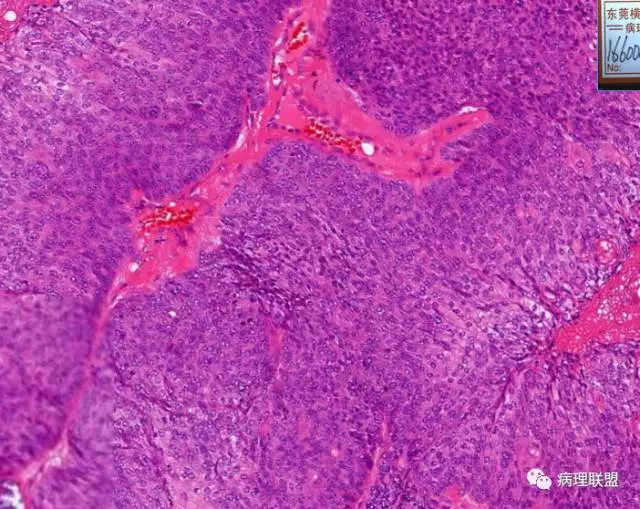
第一例和第二例病例我把典型图像压下来,是让我们以后注意,典型里找不典型,毛母质瘤主要由两种细胞构成,嗜碱细胞和影细胞构成,主要认识嗜碱细胞。
左老师,开始发的图片没有看到影细胞。最后加的图才看到了
上一篇:
胃镜活检中的萎缩性胃炎的判读
下一篇:
F/62 面部肿物—外毛根鞘瘤
















