
亚专科 ▪ 微信汇
胃镜活检中的萎缩性胃炎的判读
作者:管理员
时间:
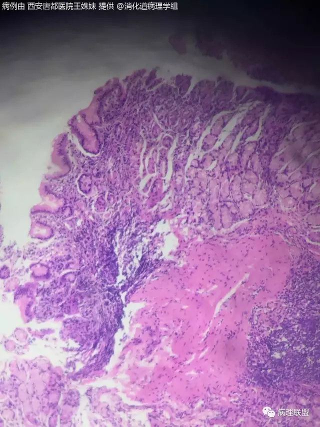
十岁的小孩可以报萎缩性胃炎么,各位老师,的确有腺体减少 淋巴滤泡形成。(病例由 西安唐都医院王姝妹 提供,致谢!)
有淋巴滤泡在下面,不能报萎缩。仔细观察,是否有HP感染,如果没有HP感染,建议加做 Syn CgA gastrin,观察是否存在神经内分泌细胞增生,排除自身免疫性胃炎
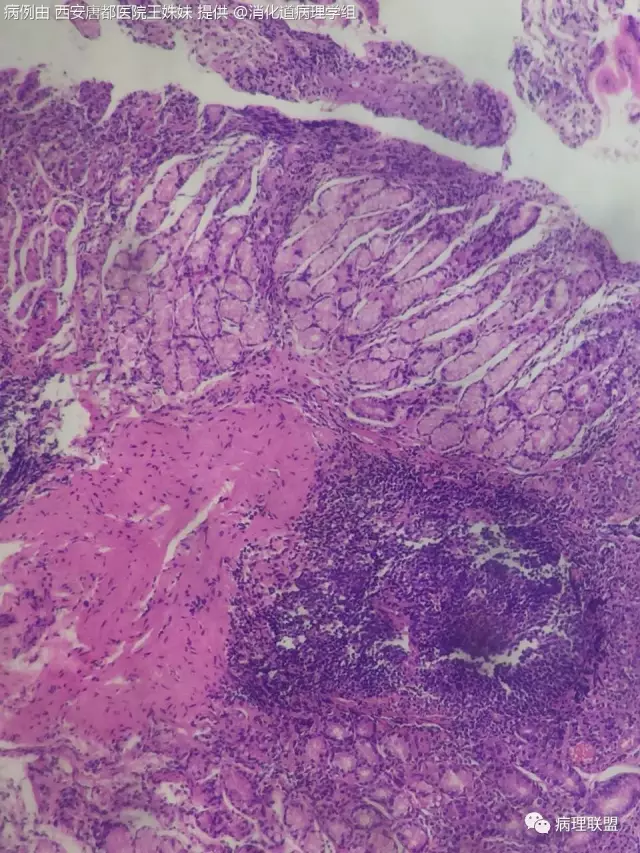
魏老师,H一E切片上能看出HP感染?
H一E切片上能看出HP感染
@张晚鱼 HE,可以看出HP感染
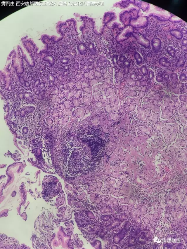
@魏建华 请问老师 有肠化就可以报萎缩吗 如果年龄大的话
有人这么发(包括部分大牛),我的意见,看具体的case。个人的意见,可以@石雪迎 大夫,她是这方面的扛鼎之人。
因为有时候看到炎症是不重的 可是肠化很明显 一直在困惑 书中写的是根据肠化程度报轻中重
我觉得肠化是肠化,萎缩是萎缩。萎缩是以腺体减少为表现的。肠化不代表萎缩。
尽管粘膜细胞不减少,有时候甚至增多,一旦己经肠化,本质己改变,也应属于萎缩。
@弯雪燕 同意,此时大体上是不是已经有萎缩的表现了,我发现当胃粘膜已经平坦,皱襞消失,镜下表现为肠化了
@魏建华 魏老师谬赞了。@郑志健 @马振岐 胃黏膜萎缩的定义是胃固有腺体的减少,这种减少可以是固有膜内腺体数量的绝对减少,也可以是相对减少。肠化如果发生在固有腺,则肠化程度代表固有腺相对减少程度,也就等于萎缩程度;如果发生在小凹上皮,则不造成固有腺的减少,也就与萎缩无关;所以,肠化发生的部位决定了其与萎缩的关系。
上一篇:
F/45 左侧腮腺肿块
下一篇:
【基础入门】临床病理基础沙龙皮肤病例两例














