
45岁 女性 左侧腮腺肿块
补充病史:4个月前发现左耳后肿块花生大小,无疼痛,最近一个月肿块不断增大,且触及有疼痛感。
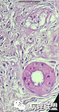
补充大体描述:组织一块,大小4*3*2cm,切面见一肿块,大小2.6*2*1.8cm,肿块灰白灰黄,质偏硬,与周分界清楚。(病例由临床病理基础沙龙 程琼琳提供,致谢!)
@程琼琳 您的病例看着跟梅老师的挺像的,但是觉得图片中胶原少了点,其他倒是像,您哪里最好发的什么诊断,做一下肌上皮看看导管周围有没有肌上皮,我觉得跟腺泡细胞癌还是不能区别。
@左淑英 老师,那时候做了快速就我一个人发的,快速我就发了个“考虑腺瘤,待常规及免疫组化”( 个人感觉跟一般腺瘤形态不一样,但是包膜完整,恶性又不像,其中的腺管状结构位于腮腺以前没见过…今天早上看到梅老师发的 觉得挺像的~
腺泡细胞癌包膜也是完整的
明天我再仔细找找胶原丰富的地方拍拍图~老师。您觉得汗腺来源的肿瘤可以排除么?有些地方大汗腺化生~
我觉得不像。跟表皮关系呢
对对,跟表皮没有关系~我主任看了片说像大汗腺来源

这个管像是涎腺的分泌管
@左淑英 OK~ 谢谢~差点忘记了,左老师,那要是腮腺的分泌管,那应该就可以排除腺泡细胞癌了吧?
@程琼琳 您明天看看片子找找胶原多的地方,我觉得您的病例跟梅老师发的相似度很高
@左淑英 好的,明天我再拍图~这是前几天遇见的疑惑,早上看见梅老师发的,有种找着答案的感觉
补充昨天病例的图 像乳腺纤维囊性乳腺病的改变。
@程琼琳 您的病例标记肌上皮了吗?胶原化,小叶结构,大汗腺化生,,导管扩张,腺泡细胞泡沫变,嗜酸性变,除外下导管癌,挺像硬化性多囊性腺病的,最后您诊断什么?

@左淑英 老师,病人已经出院了,暂时搁置了。还没做免疫组化的。需要与这种导管癌鉴别?
@程琼琳 看看导管周围有没有肌上皮表达,就是鉴别导管癌吧,粘表也鉴别一下,估计剩下就它了,工作做好了,到时候再请梅老师看看。





















