
亚专科 ▪ 微信汇
F/38 手部小指背侧皮下肿物-实体性的纤维组织细胞瘤
作者:管理员
时间:
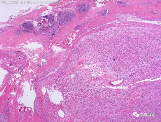
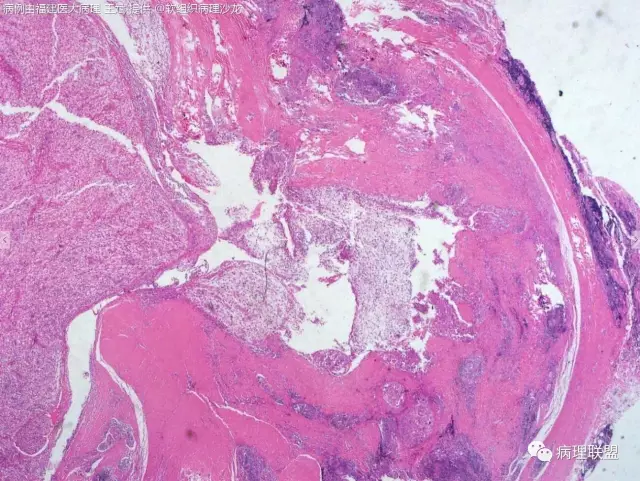
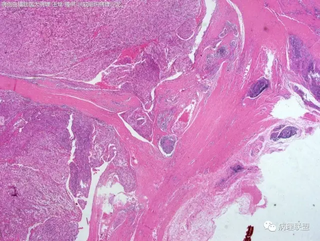
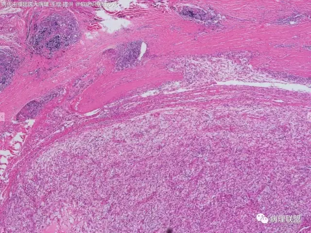
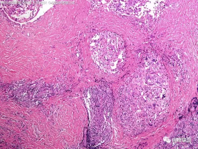
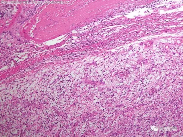
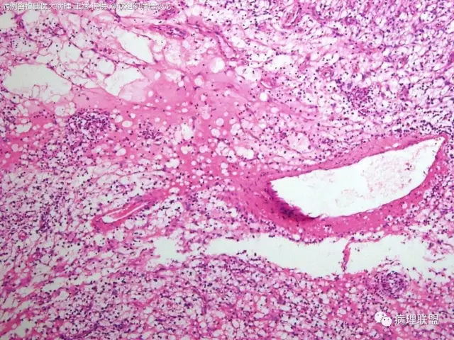
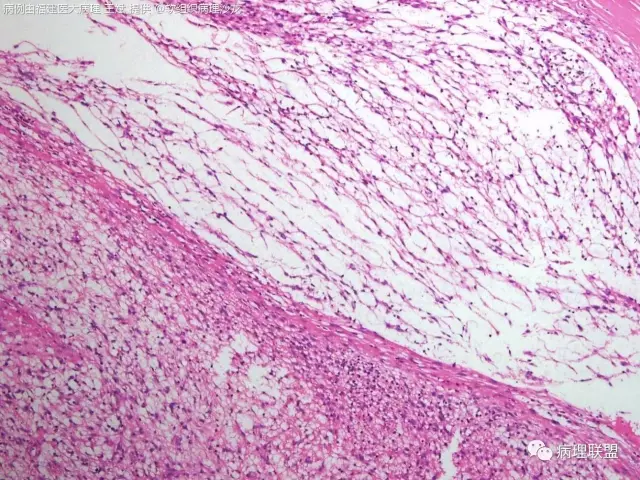
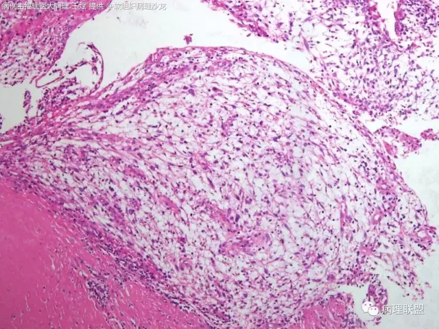
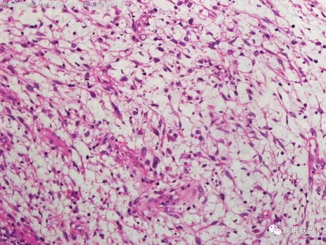
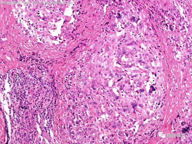
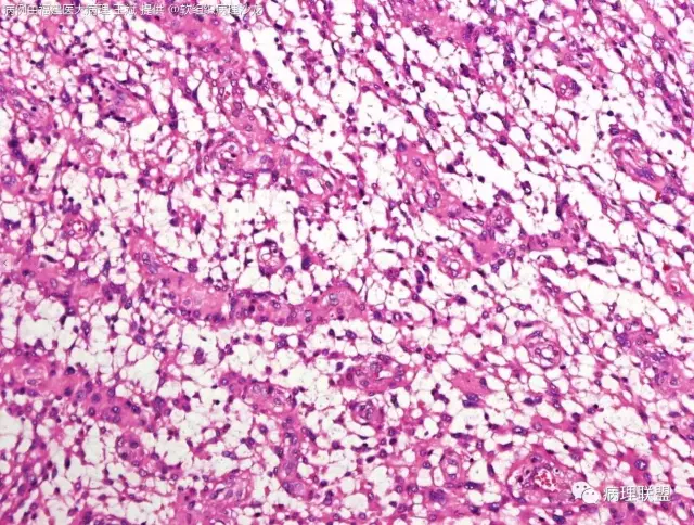
38岁,女性,手部小指背侧皮下肿物,3×2cm(病例由福建医大病理 王斌提供,致谢!)
是否为实体性的纤维组织细胞瘤?做IHC了吗?
还没做,没有方向
您是说血管瘤样纤维组织细胞瘤吗?@浦东医院,病理,谢平
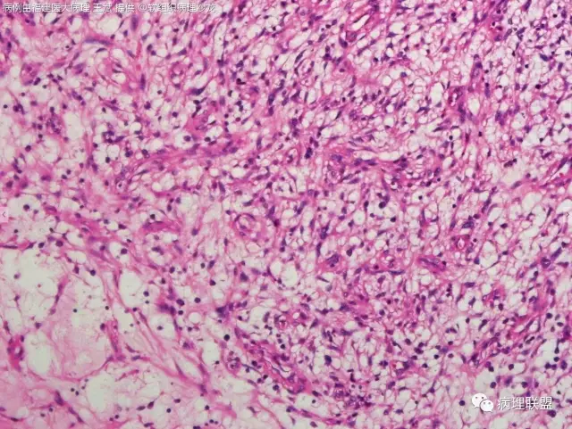
是的,可以部分有粘液变,我见过的
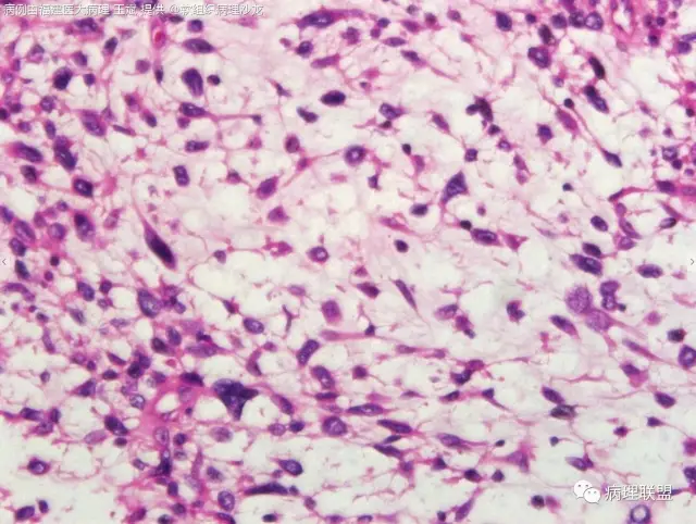
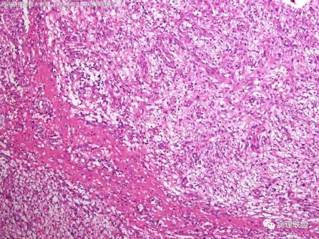
血管瘤样纤维组织细胞瘤的肿瘤周围有淋巴细胞鞘,结节状分布,有假包膜,出血囊性变的为其主要特点,当然少数病例可以没有出血囊性变却出现粘液变。肿瘤细胞有一定异形性,属于低度恶性或交界性,最好做个FISH,看看有没有EWSR1-CREB1融合基因,刚查了一下,血管瘤样纤维组织细胞瘤还有另一种EWSR1-ATF1融合基因,无论是哪种,用EWSR1分离探针就可以检测
上一篇:
纪小龙:病理入门(1)直播回放
下一篇:
F/45 左侧腮腺肿块




























