
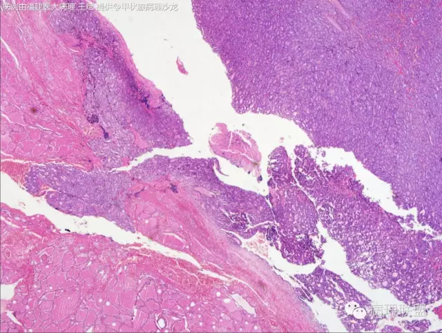
女性,20岁,甲状腺肿物(本病例由福建医大病理 王斌提供,致谢!)
各位老师,滤泡亚型PTC?
癌
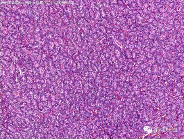
Encapsulated follicular variant papillary thyroid carcinoma with capsular invasion——如总体为包裹性滤泡性病变的话(图一提示,但只一部分)
@济宁医学院附属医院 张仁亚 @山东大学齐鲁医院 病理 刘志艳 只此一灶,组织切切破了
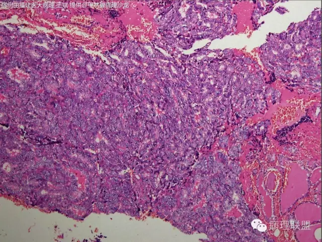
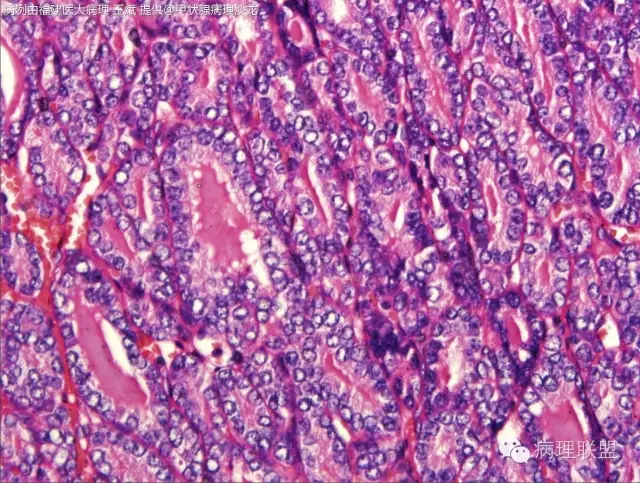
核的特征不明确,是不是得考虑滤泡癌。
滤泡癌和滤泡亚型PTC预后及治疗有何区别?韩帅,我觉得核的特征还是有的@河南新密人医病理科韩峰楼
有少量核沟,如果核够就是滤泡亚型ptc
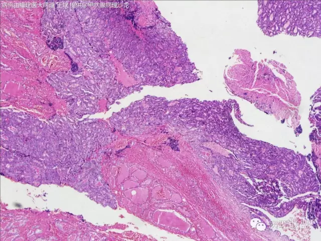
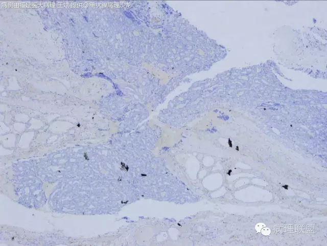
我担心的包膜侵犯是不是切破了造成的假象,我补一个MASSON染色看看
不太像假象

@福建医大病理 王斌 ,我觉得不是切破,上方也有浸润的趋势。
谢谢刘老师@山东大学齐鲁医院 病理 刘志艳
昨天下午中美读片我也提到了,如果是浸润性包裹型,生物学行为、分子特点和微小浸润性的FTC是一样的,所以不需要太纠结。
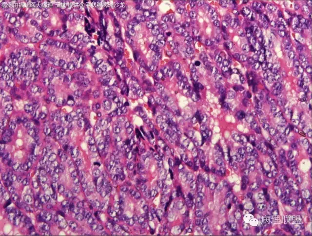
此片中所显示的“核特征”为人工现象,滤泡癌。
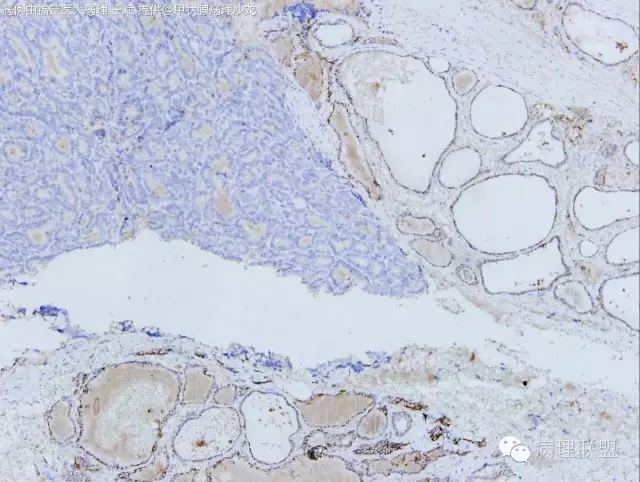
如果楞要分的话,可以染染CD56试一试
CD56、Galectin3、HMBE-1阴性,CK19灶阳
我赞同FTC
CD56
CD56区别FTC和PTC吗?
CK19
GGALECTIN3 和HMBE1 均为阴性
大腕都拍了,好办多了
2016版头颈有推荐,PTC中CD56减少或缺失。我最近在摸索,还可以。在年会会场,资料不在手头。但觉道教授新近分类中提倡不去分PTC和FTC,统一采用高中分化。
如果严格按照WHO分类的定义,符合经典乳头状癌和滤泡癌的病例不多,大多数高分化癌病例的组织学病变处于经典乳头状癌和经典滤泡癌,这两个极型之间的位置。
@福建医大病理 王斌 这种生长方式就是癌,无论免疫组化如何表达或不表达
















