
亚专科 ▪ 微信汇
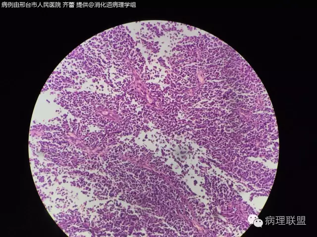
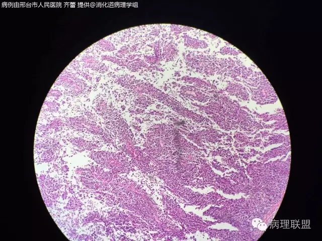
【罕见病例】F/52 小肠肿物-胃肠道恶性神经外胚瘤(MGNET)
作者:管理员
时间:
这个病例真难
胃肠道恶性神经外胚瘤(MGNET).
请参考
@周泉,谢谢周老师太厉害了
@齐蕾 感谢分享精彩病例,您的组化做的很全面了,诊断和鉴别诊断标记基本都在了。我也是前段时间碰到过一例有点印象。加上您这一例加深了对该肿瘤形态学诊断及鉴别诊断的认识
@齐蕾,非常少见的好病例!同意周老师意见,最好再加做一下分子检测(FISH或PCR)证实一下有无EWSR1重排,IHC的SOX10阳性也有帮助。除了图中所示形态特点外,这类肿瘤中还可见散在的多核巨细胞,不妨再找找,show给大家看看
非常好的病例。但因发生于腹腔内脏器官,诊断为弥漫型节细胞神母应更妥。
因为S100、GFAP阳性。
C-myc有否表达?





















