
亚专科 ▪ 微信汇
【看图学诊断】面部结节
作者:管理员
时间:
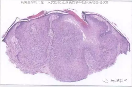
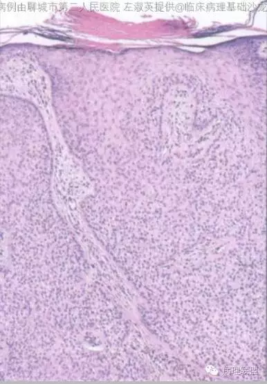
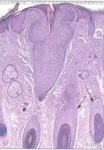
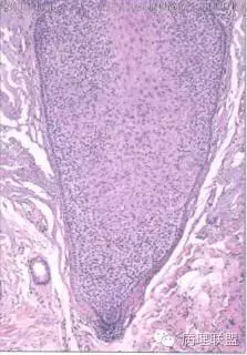
面部结节(病例由聊城市第二人民医院 左淑英提供,致谢!)
初诊外毛根鞘瘤,左老师复诊~
@程琼琳 谢谢您,请把您诊断依据描述出来,或许对大家都有益处
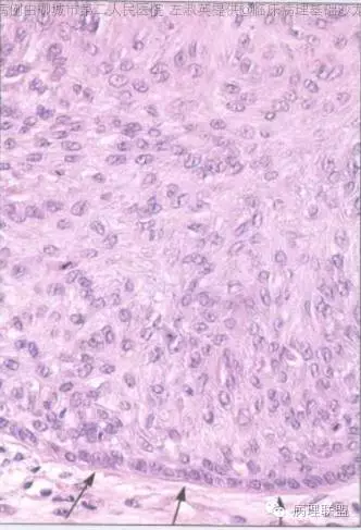
部位表浅,境界较为清楚,伴有不全角化;病变与表皮相连,由浅染细胞构成,周边细胞栅栏状排列;毛囊周边上皮环抱状改变;细胞无异型,核分裂看不太清(就知道这么一丢丢)@左淑英
@左淑英 左老师请讲讲,仅知道皮肤附属器良性肿瘤。
@刘香丽 后面会有总结的,先看看书,记忆更好,外毛根鞘瘤:低倍看内生性生长,淡染或透明的鳞状细胞构成,边缘栅栏状排列的基地样细胞,外有嗜伊红地基底膜样物质。
















