系统检测出您的资料尚未完善!亲!快去完善资料吧。
您好,欢迎来到临床病理联盟  
搜 索
您当前位置:首页 -- 亚专科 ▪ 微信汇 -- -- F/50 肾上腺肿物
F/50 肾上腺肿物
作者:管理员
时间:

基本资料

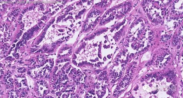
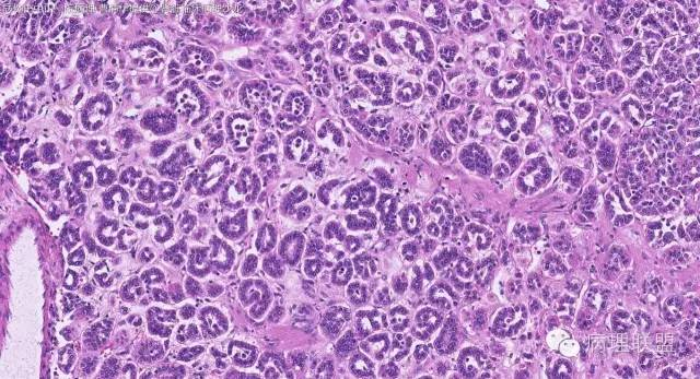
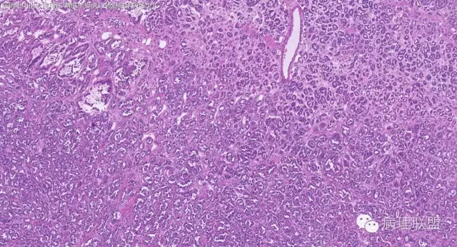
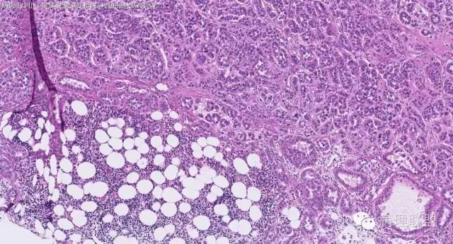
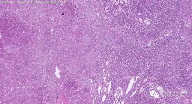
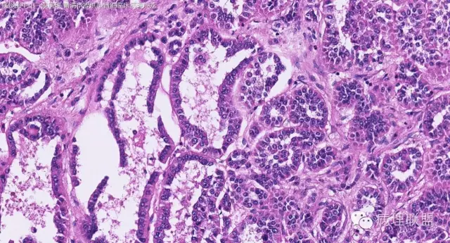
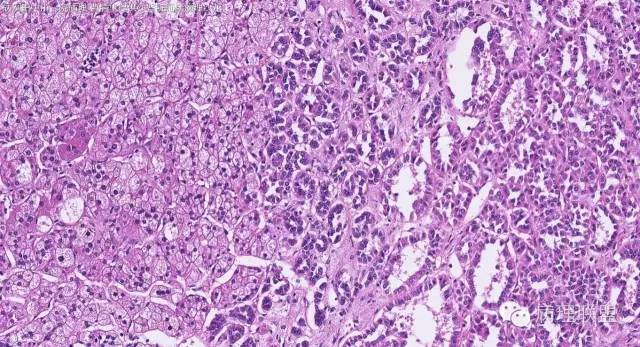
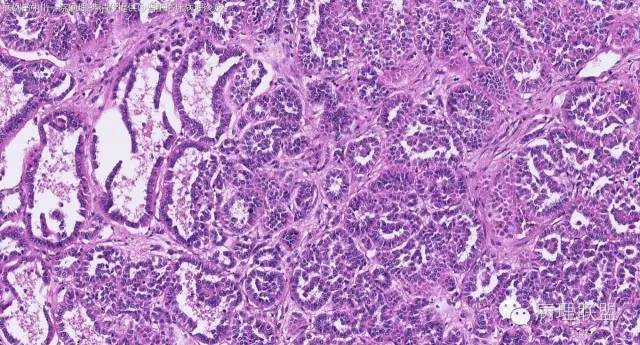
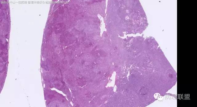
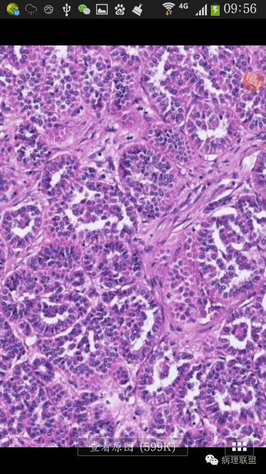
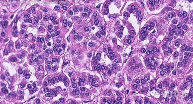
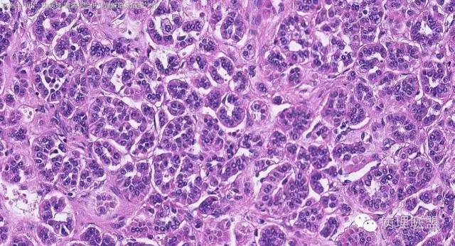
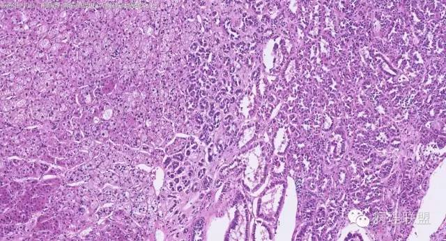
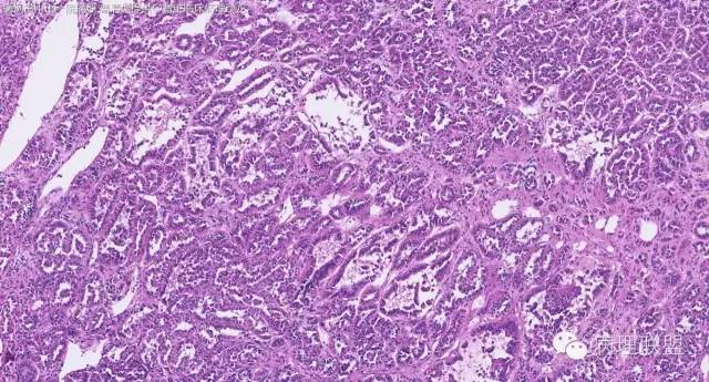
女性,50岁,肾上腺肿物(影像及手术均确认肿物位于肾上腺,界限清楚)。血压升高。(病例由 中山一院病理 曹清华提供,致谢!)

图片信息
病例讨论

中山一院病理 曹清华

CK,Vimentin,CD56 阳性

inhibina, melana, syn, cga, wt-1, cd57均阴性

武警总队嘉兴医院 周泉

伴假腺样结构的肾上腺皮质腺瘤,合并髓脂肪瘤

中山一院病理 曹清华

从肿瘤的位置及镜下与肾上腺皮质的关系看,应该像是皮质来源肿瘤。假腺样结构的皮质腺瘤没有见过,似乎文献也还没查到。另外inhibina, melanA, syn均阴性(肿瘤旁正常皮质阳)感觉有点迷惑。。。请老师指教,有相关文献么?@武警嘉兴医院 周泉

武警总队嘉兴医院 周泉

假腺样是细胞粘附性差了导致。往往可以伴随黏液成分,组化上这几个抗体应该至少会有灶性阳性。

可以参考下

中山一院病理 曹清华

这个我再仔细看下。但,我们这例腺管结构不像是粘附差所致,是真的腺管;间质目前还没有看到有间质粘液变性区域;inhibina, syn, menlana是真的不阳,灶性都没有...

武警总队嘉兴医院 周泉


假性明显细胞解离,只是程度不一而已,应该不会有问题。

地址:广州市广州大道北1838号南方医科大学生命科学楼二楼   服务热线:400-888-1223 传真:020-62789556 邮编:510515

Copyright © 2015 广州华银医学检验中心有限公司 版权所有  粤ICP备14054759号-2