
亚专科 ▪ 微信汇
F/42 右甲状腺发现2个结节
作者:管理员
时间:
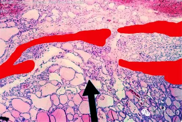
请教各位同行专家一个病例。F/42,右甲状腺发现2个结节,其中一个如下图,另一个是完全钙化结节。术前外院做的超声,来我们院做的CT,报告边界清楚。(病例由佛山市南海区人民医院病理 陈健智 提供,致谢!)
下一篇:
无

请教各位同行专家一个病例。F/42,右甲状腺发现2个结节,其中一个如下图,另一个是完全钙化结节。术前外院做的超声,来我们院做的CT,报告边界清楚。(病例由佛山市南海区人民医院病理 陈健智 提供,致谢!)
Copyright © 2015 广州华银医学检验中心有限公司 版权所有 粤ICP备14054759号-2